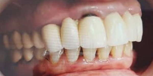
מרפאת מקום לחיוך נוסדה ב1999 מאז טיפלה באלפי לקוחות מרוצים. חשוב לנו שכל לקוח יצא עם התוצאה המשולמת עבורו
"לד"ר רים יונס היקרה
תודה רבה על הדאגה
והמאמץ בשבילי.
לא מובן מאליו....
"אנשים טובים באמצע הדרך"
רק טוב..."
"למרות שהייתי קצת דרוך
עשו לי אחלה טיפול
במקום לחיוך
שם שולחן ערוך
של הרופא הלא נמוך
בטיפול הורדתי הילוך
וזרמתי עם הרופא דוך
רופאים טובים במקום לחיוך אני בטוח וסמוך
ועכשיו רוצה מנוחה
לא דווקא עם פוך"
"ברצוני להביע במכתב זה את תודתי ואת שביעות רצוני מהטיפול המקוצעי והיחס החם לו זכיתי לקבל אצלכם במהלך כל הטיפול והמעקב אחרי ב"ה יש לציין שאני מרגיש היום מצוין והשניים מחזיקות מעמד. אברך את כל צוות המרפאה ובלל את גב' אודליה וד"ר חליל בפרט תמשיכו לעשות חיל ולעזור לאנשים הזקוקים לכם. בהצלחה רבה ותבורכו מהשמיים"
"לדוקטור חליל היקר ולדוקטור רים,
תודה רבה על הטיפול המסור מאוד. הטיפול שלי היה סופר מורכב, התמודדתם איתו באהבה ובסבלנות אין קץ .כל הטיפולים נצמדו לתפיסות העכשוויות והכי מעודכנות בתחום. כל הכבוד!!
גם הצוות של המרפאה אף הוא מלא באהבה וברצון טוב."